The Daily Insight

Connected.Informed.Engaged.

general

How do I know if my tooth enamel is gone?

Written by Emily Cortez — 0 Views
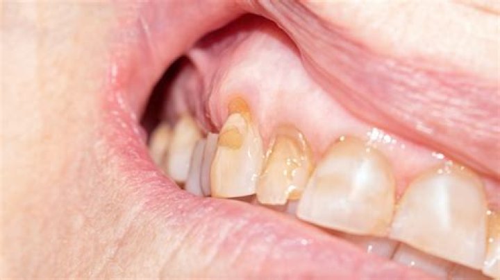
As the enamel erodes and more dentin is exposed, the teeth may appear yellow. Cracks and chips. The edges of teeth become more rough, irregular, and jagged as enamel erodes. Smooth, shiny surfaces on the teeth, a sign of mineral loss.

How do I know if the enamel on my teeth is gone?

As the enamel continues to erode, your teeth might turn a gray or yellowish color. If your teeth change shape, it's a good indicator that you have enamel damage. Your teeth may begin to appear rounded, develop ridges, and often the gaps between teeth will become more substantial.

Can the enamel on your teeth be restored?

Tooth enamel is the hardest tissue in the body. Problem is, it's not living tissue, so it can't be naturally regenerated. Unfortunately, you can't regrow it artificially, either -- not even with those special toothpastes.

What does losing enamel look like?

As the enamel erodes and more dentin is exposed, the teeth may appear yellow. Cracks and chips. The edges of teeth become more rough, irregular, and jagged as enamel erodes. Smooth, shiny surfaces on the teeth, a sign of mineral loss.

What to do if enamel is coming off teeth?

Take Other Steps to Reduce Enamel Erosion

  1. Visit Dr. ...
  2. Eliminate highly acidic drinks from your diet, including carbonated drinks, juice and wine. ...
  3. Chew sugar-free gum between meals. ...
  4. Drink more water throughout the day to help clear out bacteria.
  5. Brush with a fluoride toothpaste, which is known to strengthen enamel.

Recognize Tooth Enamel Loss

Can brushing too hard damage enamel?

Damage Caused By Brushing Too Hard

Brushing too hard and using a toothbrush with stiff, coarse bristles can wear down and damage both the teeth and gums, creating a host of issues, such as gum recession and enamel wear, both of which are linked to tooth sensitivity.

What color is tooth enamel?

Enamel is on the surface of every tooth and it has a natural hue of white. However, the underlying dentin layer has a slightly yellowish color. This yellowish hue shows through the enamel in almost everyone, but more so for those with naturally thinner or more translucent enamel.

Why are my teeth losing enamel?

One of the main causes of enamel erosion are acids found in the foods and liquids you consume. Saliva constantly neutralizes acid in your mouth to protect your teeth. But if you consume too much acidic food and drink, and don't properly brush your teeth, the outer layer of enamel will degrade over time.

Can yellow teeth become white again?

Yes, most stains can easily be lifted from the teeth with professional whitening treatments. The strength of our treatments help patients transform their smile to a dazzling white! It is important to note that internal stains are more difficult to remove.

Is a brown spot always a cavity?

Although dark spots do not always indicate a cavity—they may just be surface stains—you have no real way of knowing. If you spy a black or brown spot on a tooth, your first course of action should be to schedule an appointment with a dentist.

Is brushing your teeth 3 times a day too much?

You should refrain from brushing more than three times a day, because brushing too often will wear down the enamel of your teeth. You must brush at least twice, but not more than three times a day.

Is it okay to brush your teeth 3 times a day?

Can you brush your teeth too much? Brushing your teeth three times a day, or after each meal, likely won't damage your teeth. However, brushing too hard or too soon after eating acidic foods can. Aim to use a light touch when brushing.

Can electric toothbrushes wear down enamel?

During everyday use, the bristles will wear down, move out of place and fall out, potentially leading to enamel abrasion. In order to avoid this, you should replace the head of your electric toothbrush every two to three months. Don't press too hard!

Can receding gums grow back?

The simple answer is, no. If your gums are damaged by, for example periodontitis, the most severe form of gum disease, it's not possible for receding gums to grow back. However, even though receding gums can't be reversed there are treatments that can help to stop the problem from getting worse.

Should you brush your gums?

But the bacteria that live on your tongue and on your gums also must be cleaned away, in order to safeguard your oral health. Brushing and cleaning your tongue and gums properly is absolutely essential, because brushing alone simply is not enough to prevent cavities and gum disease.

Is it better to brush or floss?

Brushing only removes plaque from the front and back surfaces of your teeth. Flossing, on the other hand, allows you to remove plaque from between your teeth and underneath the gums. These hard-to-reach spots are where the most destructive microbes live.

Should you leave toothpaste on your teeth?

It may be difficult to break the habit of rinsing your mouth after brushing, but it might be good to start trying. Leaving residual toothpaste in your mouth can reduce tooth decay. Rinsing with mouthwash immediately after brushing may not be the best for your teeth, even if your mouthwash contains fluoride.

Should I brush my tongue?

It is essential to brush your tongue for the following reasons: Prevents tooth decay and periodontal disease: No matter how well you brush your teeth, bacteria or small food particles that build up on your tongue may reach your teeth and gums.

Is it OK to brush your teeth once a day?

Brushing Teeth Once A Day: Is It Enough? Twice daily brushing is best for most people – but once a day is better than nothing! If you decide to brush once a day, consider timing it just before bed or just after waking. Also think about other dental care activities you can do.

Should you rinse with water after brushing your teeth?

After brushing, spit out any excess toothpaste. Don't rinse your mouth immediately after brushing, as it'll wash away the concentrated fluoride in the remaining toothpaste. Rinsing dilutes it and reduces its preventative effects.

How can I get rid of yellow teeth?

Use Hydrogen Peroxide and Baking Soda

Using this mixture removes bacteria and buildup of plaque to get rid of surface stains. Create a hydrogen peroxide and baking soda paste and use it to brush your teeth. After that, use water to rinse the mouth. You can also create a mouthwash using equal amounts of each ingredient.

What does tooth decay look like?

Cavities vary greatly in appearance. In general, however, they appear as small holes, chips or dark spots on teeth. The holes can be as small as dots or as large as the entire tooth. Sometimes they look brown, yellow or black.

What color is tooth decay?

Generally speaking, a dental cavity (also called tooth decay) can range in color from white to brown and eventually black as the cavity continues to grow. The shape of a cavity is organic and changes as the cavity grows in width and depth.

Can brushing get rid of cavities?

Fortunately, the beginning stages of a cavity can be reversed by taking steps toward good oral hygiene. During early demineralization, exposure to fluoride, daily brushing and flossing, and regular cleanings can all help prevent — or even reverse — tooth decay.