The Daily Insight

Connected.Informed.Engaged.

general

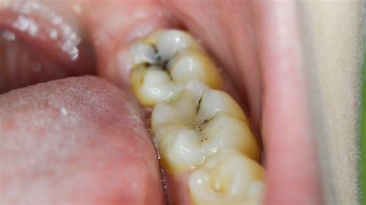
What does a hole in a tooth look like?

Written by Leah Mitchell — 0 Views
Often a cavity will look like a dark spot on the tooth, typically yellow, brown, or black in color. Early on, it may resemble tooth staining or a slight discoloration. As cavities progress, the holes get bigger and usually darker.

How do you know if you have a hole in your tooth?

Symptoms

  1. Toothache, spontaneous pain or pain that occurs without any apparent cause.
  2. Tooth sensitivity.
  3. Mild to sharp pain when eating or drinking something sweet, hot or cold.
  4. Visible holes or pits in your teeth.
  5. Brown, black or white staining on any surface of a tooth.
  6. Pain when you bite down.

How do you treat a hole in your tooth?

Treatment options include:

  1. Fluoride treatments. If your cavity just started, a fluoride treatment may help restore your tooth's enamel and can sometimes reverse a cavity in the very early stages. ...
  2. Fillings. ...
  3. Crowns. ...
  4. Root canals. ...
  5. Tooth extractions.

Can a hole in tooth be fixed?

Cavities Most Often Can Be Repaired by Dental Fillings

Using a metal alloy, porcelain, or dental resin, your dentist can fill in the hole left behind by bacterial infection (the cavity). These materials are durable, and they can stabilize your damaged tooth.

Is a hole in your tooth normal?

If you can physically see a hole has formed in or on your tooth, you probably have a cavity. Even if the hole is not a cavity yet, having an opening in the enamel of your tooth gives bacteria a way to enter and cause tooth decay. Any time you see a hole in your tooth, you should see your dentist.

A black spot on the tooth can develop into a monster

What does tooth decay look like?

Cavities vary greatly in appearance. In general, however, they appear as small holes, chips or dark spots on teeth. The holes can be as small as dots or as large as the entire tooth. Sometimes they look brown, yellow or black.

How much will it cost to fix a hole in my tooth?

The Cost of Dental Fillings Without Insurance

The average cost of each type of filling, according to CostHelper, is: $50 to $150 for one to two metal (silver amalgam) fillings, and $120 to $300 for three or more. $90 to $250 for one to two tooth-colored resin fillings, and $150 to $450 for three or more.

What causes hole in teeth?

Holes in teeth are caused by dental cavities, which are permanently damaged areas in the enamel (the hard-outside surface of your teeth). Cavities may also be called dental caries or tooth decay. Anyone with teeth can get cavities, from small children to older adults.

Is a hole in your tooth an emergency?

When people neglect their cavities and leave them untreated, they can progress further, compromising the vitality of your tooth. At this point, cavities are a dental emergency that requires immediate care.

How long does it take for a cavity to destroy a tooth?

There's no specific timeline for how quickly a cavity can destroy a tooth. In most cases, severe damage to the tooth occurs because of years of unaddressed tooth decay. Fortunately, proper dental hygiene and regular dental checkups can save a tooth before it ever gets this bad.

Are small holes in teeth cavities?

Dental cavities, or caries, are tiny holes in the hard surface of the teeth. They are caused by bacteria on the surface of teeth creating acid out of sugar. The most common culprit is a bacterium known as Streptococcus mutans. The bacteria form a sticky film known as plaque.

How can I temporarily fill a hole in my tooth at home?

How to place a temporary filling at home

  1. Brush the tooth with your toothbrush to remove any plaque and food debris.
  2. Place the cotton wool rolls provided next to the tooth to try and keep it relatively dry. ...
  3. Use the appropriate amount of the filling material for the size of the hole on your tooth.

How big of a hole can be filled in a tooth?

Another standard is the width of the filling. Some say that a filling shouldn't be any wider than ⅓ of the distance between the cusps (high points) of a tooth. Others allow for up to 50% of this distance. These figures were calculated for metal amalgam fillings, which are the worst for damaging teeth.

Why am I getting cavities all of a sudden?

Change in daily routine: If you weren't getting cavities before and now you are, it's highly likely that something in your life has changed that's causing the sudden onset. Consider lifestyle factors like diet, stress, starting school or a new job, and new habits.

Can a badly decayed tooth be saved?

Can a decayed tooth be saved? With the right dental professionals by your side, even severely decayed teeth can be restored. Whether you require dental crowns, fillings, or a combination of treatments, No Gaps Dental can help restore your smile and confidence.

How long do fillings last?

On average, you can expect a metal filling to last for about 15 years before needing to be replaced, but the length of time can vary based on several factors, such as if you grind or clench your teeth. Tooth-colored fillings are made from a mixture of fine glass and plastic particles.

Can you fill a cavity at home?

So, can you fix cavities at home? Unfortunately, no. Only a dentist can repair a cavity, so you should make an appointment to see your dentist as soon as possible. However, you do have the power to halt the decay and prevent future damage.

When is a root canal needed?

Root canals are needed for a cracked tooth from injury or genetics, a deep cavity, or issues from a previous filling. Patients generally need a root canal when they notice their teeth are sensitive, particularly to hot and cold sensations.

What does early stage cavity look like?

While it is usually difficult to see a cavity in its beginning stages, some cavities start with a whitish or chalky appearance on the enamel of your tooth. More serious cases can have a discolored brown or black color. However, most often there are no distinguishable red alerts.

How do I know if my tooth is decaying?

Symptoms of tooth decay

toothache – either continuous pain keeping you awake or occasional sharp pain without an obvious cause. tooth sensitivity – you may feel tenderness or pain when eating or drinking something hot, cold or sweet. grey, brown or black spots appearing on your teeth. bad breath.

Does a black spot on tooth mean cavity?

Cavity, or tooth decay: Perhaps the most common cause for a black spot on your molar teeth is tooth decay, or a cavity. A cavity forms when the build-up of plaque, which contains acids, is allowed to erode the surface enamel of a tooth. A hole in the tooth's protective layer sometimes shows as a black dot.

Can a tooth with a big hole Be Saved?

The only way to cure tooth decay is to drill out the cavity before it spreads. However, if the cavity is too big for a filling, our dentists will recommend a porcelain crown to strengthen the tooth.

When is it too late for a tooth filling?

Once bacteria have entered your tooth, it may be too late for a filling because we will need to prevent or treat an existing infection. However, it's never too late for dental care!

Can I wait 6 months to fill a cavity?

Every Cavity Is Different

Some people have softer tooth enamel than others, making it easier for bacteria or acid to penetrate the tooth. On average, as a broad timeline, it can take anywhere from six months to four or five years before a cavity needs treatment.

Is there an over the counter tooth filler?

Dentemp is clinically proven to temporarily repair loose caps and crowns and replace lost fillings, while providing instant pain relief. Dentemp — the #1 selling over the counter dental cement — was developed by a dentist. It is easy to use, and the formula is safe and strong, so you can eat on it in just 2 hours.